Allgemein
Die Babesiose beim Hund – auch als Hundemalaria bezeichnet – wird von Blutparasiten ausgelöst, die durch Zecken übertragen werden. Unbehandelt ist diese Erkrankung für den Hund meist tödlich.
Hundemalaria - todbringender Zeckenbiss
Die Babesiose beim Hund – auch als Hundemalaria bezeichnet – wird von Blutparasiten ausgelöst, die durch Zecken übertragen werden. Unbehandelt ist diese Erkrankung für den Hund meist tödlich.
Früher trat diese Erkrankung beim Hund in Deutschland selbst nicht auf. Es handelte sich um eine reine Reisekrankheit, d.h. eine Krankheit, die der Hund bekam, weil er z. B. auf Urlaubsreisen ungeschützt in den passenden Gebieten war.
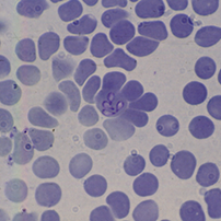
Je nach Art der Babesien unterschieden sich bei der Babesiose die Krankheitszeichen. Für Hunde relevant sind vor allem die Erreger Babesia canis und Babesia gibsoni.
Gemeinsam haben alle Infekte mit diesen Piroplasmen die Hämolyse und die damit verbundene Blutarmut.
Hat der Tierarzt den Verdacht auf Hundemalaria, wird eine Blutuntersuchung durchgeführt. Manchmal gelingt es mit den herkömmlichen Mitteln in der Tierarztpraxis nicht, den Erreger nachzuweisen. Dann muss der Veterinär die Blutprobe unter Umständen an ein externes Labor schicken.
|
|
000690
|
|